Posted on November 27, 2011 by Archer USMLE Reviews
286) A 55 year old woman with history of diabetes mellitus and hypertension is admitted with chest pain. Chest pain started about 30 minutes ago but now resolved after she received sublingual nitroglycerin. An electrocardiogram obtained by EMS showed ST segment depressions but a repeat electrocardiogram in the Emergency room is normal. She is placed on Aspirin, low molecular weight heparin, atorvastatin and metoprolol. She denies any easy bruising, nose bleeding or any other gross bleeding. She denies smoking , alcohol or drug abuse She has not been admitted to any hospital and has never received anticoagulants in the past. Physical examination is benign . Laboratory investigations reveal:
WBC 8.8k/µl
Hemoglobin 15 g/dL,
Mean cell volume (MCV) 84 fL
Platelet count 8k/µl
Liver function tests, Electrolytes, Creatinine, Prothrombin time and Partial thromboplastin time are within normal limits. Three sets of cardiac enzymes are negative. Cardiology team held aspirin and low molecular weight heparin immediately. A peripheral blood smear is shown below:

Which of the following is the most appropriate next step in management?
A) Platelet transfusion
B) Heparin induced platelet antibodies
C) Start Lepirudin
D) Send CBC in a citrate tube
E) IV Gamma Globulin
Filed under: Uncategorized, USMLE Test Prep | Tagged: Archer hematology, Hematology, internal medicine board review, USMLE step 3 Hematology | 8 Comments »
Posted on November 27, 2011 by Archer USMLE Reviews
285) A 26 year old man is seen in the office because he was found to have abnormal blood counts during a health check up prior to his life insurance application. He says he was told to see his physicians because his platelet count was very low. He denies any easy bruising, nose bleeding or any other gross bleeding. He has no other medical problems. He denies smoking , alcohol or drug abuse. He denies any recent infections. He leads a very active lifestyle and is a professional soccer player. He proudly states that he won his team the state level championship a year ago and likes to aggressively pursue this career. Physical examination is benign. There is no splenomegaly. Repeat aboratory investigations reveal:
WBC 8.8k/µl
Hemoglobin 15 g/dL,
Mean cell volume (MCV) 84 fL
Platelet count 45k/µl
Liver function tests, Electrolytes, Creatinine, Prothrombin time and Partial thromboplastin time are within normal limits. A peripheral blood smear shows reduced number of platelets with out any schistocytes or blasts or nucleated red cells. Antinuclear antibodies, HIV testing and Hepatitis C are negative.
Which of the following is the most appropriate next step in managing this patient?
A) Intavenous Immunoglobulin
B) Recommend against soccer for life
C) Splenectomy
D) Observation
E) Prednisone
Filed under: Uncategorized, USMLE Test Prep | Tagged: Archer hematology, Hematology, internal medicine board review, USMLE step 3 Hematology | 10 Comments »
Posted on November 27, 2011 by Archer USMLE Reviews
284) A 32 year old pregnant woman is evaluated in the emergency room for new onset abdominal pain. She has mild nausea and vomited once prior to arrival in the emergency room. She denies any bleeding . This is her first pregnancy and she is at 34 weeks gestation. Physical examination reveals normal blood pressure. There is mild tenderness in epigastric region. Laboratory investigations reveal:
WBC 10k/µl
Hemoglobin 7 g/dL,
Mean cell volume (MCV) 84 fL
Platelet count 50k/µl
Lactic Dehydrogenase 1200U/L
AST 120U/L
ALT 180U/L
Serum Electrolytes, Creatinine, Prothrombin time and Partial thromboplastin time are within normal limits. Amylase and lipase are normal. A peripheral blood smear shows reduced number of platelets and some fragmented red blood cells. Antinuclear antibodies, Anti-phospholipid antibodies, Lupus anticoagulant profile, HIV testing and Hepatitis C are negative.
Which of the following is the most appropriate next step in management?
A) Platelet transfusion
B) Intravenous Methyl Prednisolone
C) Induction of labor
D) Observation
E) Plasmapheresis
Filed under: Uncategorized, USMLE Test Prep | Tagged: Archer hematology, archer obstetrics, Hematology, internal medicine board review, obstetrics, usmle step 3 gynecology and obstetrics, USMLE step 3 Hematology, usmle step 3 obstetrics | 8 Comments »
Posted on November 27, 2011 by Archer USMLE Reviews
283) A 26 year old man is seen in the office during a pre-employment health check-up. He has no medical problems. He denies smoking , alcohol or drug abuse. Physical examination is benign. Laboratory investigations reveal:
WBC 8.8k/µl
Hemoglobin 15 g/dL,
Mean cell volume (MCV) 84 fL
Platelet count 45k/µl
Liver function tests, Electrolytes, Creatinine, Prothrombin time and Partial thromboplastin time are within normal limits. A peripheral blood smear shows reduced number of platelets with out any schistocytes or blasts or nucleated red cells. Antinuclear antibodies, HIV testing and Hepatitis C are negative.Upon further questioning, he denies any easy bruising, nose bleeds or gross bleeding. There is no family history of thrombocytopenia or bleeding disorder.
Which of the following is the most appropriate next step in managing this patient?
A) Intavenous Immunoglobulin
B) Prednisone
C) Observation
D) Bone marrow biopsy
E) Platelet transfusion
Filed under: Uncategorized, USMLE Test Prep | Tagged: Archer hematology, Hematology, internal medicine board review, USMLE step 3 Hematology | 5 Comments »
Posted on November 27, 2011 by Archer USMLE Reviews
282) A 32 year old woman is seen in the antenatal clinic during her regular antenatal visit. This is her first pregnancy and she is at 32 weeks gestation. She takes prenatal vitamins. She currently has no complaints. Physical examination is benign. Laboratory investigations reveal:
WBC 10k/µl
Hemoglobin 14 g/dL,
Mean cell volume (MCV) 84 fL
Platelet count 70k/µl
Liver function tests, Electrolytes, Creatinine, Prothrombin time and Partial thromboplastin time are within normal limits. A peripheral blood smear shows reduced number of platelets with out any schistocytes or blasts or nucleated red cells. Antinuclear antibodies, HIV testing and Hepatitis C are negative. The patient is concerned about her abnormal platelet counts. She denies any easy bruising or nose bleeds or gross bleeding. Her complete blood count 3 months ago was completely normal.
Which of the following is the most appropriate response?
A) “You will require treatment with steroids”
B) “Urgent delivery with cesarean section is required.”
C) “Your platelet count will normalize within 2 to 12 weeks after delivery”
D) “You will require Bone marrow biopsy”
E) “No treatment needed since it is immune thrombocytopenia”
Filed under: Uncategorized, USMLE Test Prep | Tagged: Archer hematology, archer obstetrics, Hematology, internal medicine board review, obstetrics, usmle step 3 gynecology and obstetrics, USMLE step 3 Hematology, usmle step 3 obstetrics | 5 Comments »
Posted on November 27, 2011 by Archer USMLE Reviews
281) A 22 year old woman is seen in the office for a rash on legs. She had an upper respiratory tract infection one week ago which resolved spontaneously. She is not on any medications. She has no other significant mast medical history. She has easy bruising which started 5 days ago but denies any nose bleeds or gross bleeding. Her last menstrual period was one week ago and she has regular cycles with no history of menorrhagia. Family history is negative for any bleeding disorders or thrombocytopenia. She denies any smoking , alcohol or drug abuse. Physical examination is benign except for petechiae on her bilateral lower extremities. There is no splenomegaly on examination. Laboratory investigations reveal:
WBC 10k/µl
Hemoglobin 14 g/dL,
Mean cell volume (MCV) 84 fL
Platelet count 18k/µl
Liver function tests, Electrolytes, Creatinine, Prothrombin time and Partial thromboplastin time are within normal limits. A peripheral blood smear shows reduced number of platelets with out any schistocytes or blasts or nucleated red cells. Antinuclear antibodies, HIV testing and Hepatitis C are negative.
Which of the following is the most appropriate next step in managing this patient?
A) Ristocetin cofactor assay
B) Prednisone
C) Observation
D) Bone marrow biopsy
E) Plasmapheresis
F) Platelet transfusion
Filed under: Uncategorized, USMLE Test Prep | Tagged: Archer hematology, Hematology, internal medicine board review, USMLE step 3 Hematology | 8 Comments »
Posted on November 25, 2011 by Archer USMLE Reviews
280) A 2 year old child is brought by her mother to the emergency department because the child has not been ambulating since yesterday after he tripped over an object and fell. Physical examination reveals tenderness and swelling in left mid-thigh. Eyes are normal without any hemorrhages. Skin reveals several bruises. Teeth are translucent and show yellow discoloration. Moderate scoliosis is evident. A skeletal survey reveals rib fractures and multiple fractures in various stages of healing. There is diffuse osteopenia. There is a spiral fracture of left femur shaft. The limb is splinted and an orthopedic consult is obtained. Which of the following is the most appropriate action?
A) Contact social services
B) Contact Child Protection Services
C) Place the child in foster care
D) Obtain Head CT
E) Obtain detailed family history
Filed under: Uncategorized, USMLE Test Prep | Tagged: aRCHER ORTHOPEDICS, archer pediatrics, USMLE STEP 3 ORTHOPEDICS, USMLE STEP3 PEDIATRICS | 12 Comments »
Posted on November 25, 2011 by Archer USMLE Reviews
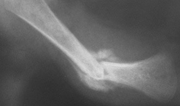
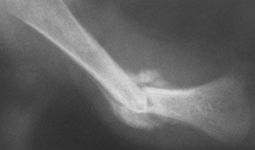
279 ) A 14 month-old child is brought by her concerned father to the Emergency department with a history that the child slipped out and fell on the ground from a table that is 10 feet in height. He says the accident occurred last night when he let the child stand on the table. The child cries when the right thigh is touched and does not move the right lower extremity. Rest of the physical examination is normal. There are no suspicious bruises or contusions on the skin. An x-ray of the right femur is shown below.

A skeletal survey is obtained and does not show any other fractures. There are no skull fractures or retinal hemorrhages or neurological deficits.
Based on the x-ray findings and the history, which of the following is the most likely diagnosis?
A) Osteogenesis Imperfecta
B) Fibrous Dysplasia
C) Accidental Injury
D) Child Abuse
E) Pathological Fracture from Ewing Sarcoma
Filed under: Uncategorized, USMLE Test Prep | Tagged: aRCHER ORTHOPEDICS, archer pediatrics, USMLE STEP 3 ORTHOPEDICS, USMLE STEP3 PEDIATRICS | 17 Comments »
Posted on November 25, 2011 by Archer USMLE Reviews
278) A 34 year old mother brings her 18 month old child to the emergency room. She is in tears and reports that the child was playing on the sofa and has fallen down 1 day ago landing on his left foot and since then has not been moving his left lower extremity. The child is crying incessantly. Physical examination reveals tenderness and swelling in the left mid-thigh. An x-ray of the left lower extremity shows a non-displaced hair line fracture of the femur shaft and the fracture age consistent with reported history of time of injury. Which of the following is the most appropriate next step in management?
A) Contact Child Protection Services
B) Skeletal Survey
C) Open reduction and internal fixation
D) Bone scan
E) CT head
Filed under: Uncategorized, USMLE Test Prep | Tagged: aRCHER ORTHOPEDICS, archer pediatrics, USMLE STEP 3 ORTHOPEDICS, USMLE STEP3 PEDIATRICS | 7 Comments »
Posted on November 25, 2011 by Archer USMLE Reviews
277) A 32 year old woman with history of Systemic Lupus Erythematosus is evaluated during a routine antenatal visit. Her last menstrual period was 18 weeks ago. She is using prenatal pills and has no complaints. She is being maintained on prednisone. Physical examination is benign and her blood pressure is normal. Her laboratory investigations show positive ANA, Anti-Ds DNA and Anti-SSA (Anti-Ro) antibodies in high titers. Anticardiolipin antibodies and Lupus anticoagulant testing is negative. She is concerned about the risk to her baby because she heard that her antibodies can cross the placenta. Which of the following conditions is most likely to occur in the baby due to passive transfer of maternal antibodies?
A) Lupus Nephritis
B) Aplastic anemia
C) No risk with passive transfer
D) Complete Heart Block
E) Hydrops fetalis
Filed under: Uncategorized, USMLE Test Prep | Tagged: archer obstetrics, archer pediatrics, Archer Rheumatology, neonatology, usmle step 3 obstetrics, USMLE step 3 Rheumatology, USMLE STEP3 PEDIATRICS | 7 Comments »
Posted on November 14, 2011 by Archer USMLE Reviews
276) A 70 year old obese woman is evaluated in your office during an annual follow up visit. Her other medical problems include hypertension, chronic sinusitis, nasal polyps, asthma, osteoarthritis and a history of transient ischemic attack about 2 months ago. She uses acetaminophen for her arthritis pain because ibuprofen makes her “swell up” and causes severe “breathing problems”. Upon review of her medications, you note that she is not on any antiplatelet therapy. Physical examination is unremarkable except for nasal polyps. Which of the following recommendations is most appropriate management for this patient?
A) Warfarin
B) Aspirin and Dipyridamole
C) Aspirin
D) Clopidogrel
E) Dipyridamole
F) No anti-platelet therapy
Filed under: Uncategorized, USMLE Test Prep | Tagged: archer neurology, archer preventive medicine, neurology mcqs, neurology usmle mcqs, stroke prevention, usmle step 3 neurology, usmle step 3 preventive medicine | 5 Comments »
Posted on November 14, 2011 by Archer USMLE Reviews
275) A 70 year old obese woman is evaluated in your office during an annual follow up visit. She has a history of moderate osteoarthritis and she takes over the counter ibuprofen for arthritis pain. She was recently hospitalized with one episode of gastro-intestinal bleeding about 6 months ago. She is being maintained on a proton pump inhibitor. Her other medical problems include hypertension and a history of transient ischemic attack about 2 months ago. Upon review of her medications, you note that she is not on any antiplatelet therapy. Physical examination is unremarkable. Which of the following recommendations is most appropriate management for this patient?
A) Warfarin
B) Aspirin and Dipyridamole
C) Aspirin
D) Clopidogrel
E) Dipyridamole
F) No anti-platelet therapy
Filed under: Uncategorized, USMLE Test Prep | Tagged: archer neurology, archer preventive medicine, neurology mcqs, neurology usmle mcqs, stroke prevention, usmle step 3 neurology, usmle step 3 preventive medicine | 6 Comments »
Posted on November 14, 2011 by Archer USMLE Reviews
274) A 76 year old obese woman with history of uncontrolled Hypertension and Type 2 Diabetes is evaluated in your office during a follow-up visit. She has history of atrial fibrillation and has been taking warfarin for stroke prevention. However, she has difficulty keeping up with her appointments for INR monitoring and does not wish to continue warfarin. Mini mental status examination reveals mild dementia. Get up and Go test does no show any increased risk of fall. She denies any active bleeding. Rest of her physical examination is unremarkable. Her INR is 1.3 and her previous INRs have been sub-therapeutic. Laboratory investigations including complete blood count, serum creatinine and liver function tests are within normal limits. Which of the following management options is most appropriate for this patient?
A) Aspirin alone
B) Aspirin and Dipyridamole
C) Reduced intensity warfarin
D) Low Molecular Weight Heparin
E) Dabigatran
Filed under: Uncategorized, USMLE Test Prep | Tagged: Archer cardiology, Archer hematology, archer preventive medicine, stroke prevention, USMLE STEP 3 CARDIOLOGY, USMLE step 3 Hematology, usmle step 3 preventive medicine | 7 Comments »
Posted on November 14, 2011 by Archer USMLE Reviews
273 ) A 58 year old man with history of chronic smoking and coronary artery disease is seen in your office for a second opinion regarding smoking cessation. He suffered an acute myocardial infarction two years ago and has had percutaneous coronary intervention with stent placement. He has not had any coronary events in the past 2 years. He denies any chest pain. He was recently placed on Nicotine patches for treatment of tobacco use by his primary care physician. The patient is concerned that the nicotine may increase his risk of having a coronary event and requests you for a second opinion regarding nicotine patch therapy. Physical examination is unremarkable. Which of the following is the most appropriate response?
A) Nicotine replacement is contraindicated in patients with cardiovascular diseases
B) Periodic counselling alone is very effective for smoking cessation.
C) Nicotine patch is not an independent risk factor for acute myocardial infarction
D) Your doctor knows what is best for you and you should follow his recommendations.
E) Varenicline is completely safe smoking cessation strategy in patients with cardiovascular disease.
Filed under: Uncategorized, USMLE Test Prep | Tagged: archer preventive medicine, cancer prevention, smoking cessation strategies, usmle step 3 preventive medicine | 5 Comments »
Posted on November 13, 2011 by Archer USMLE Reviews
272 ) A 58 year old man with history of chronic obstructive pulmonary disease and seizure disorder is evaluated in your office during a follow-up visit. He uses tiotropium inhaler on a daily basis and his pulmonary symptoms are adequately controlled. However, he reports inability to comply with smoking cessation recommendations. He has tried counseling sessions and Nicotine replacement therapy in the past without any success. The patient has been counseled again during this visit. Which of the following recommendations is most appropriate for this patient?
A) Nortriptyline
B) Varenicline
C) Bupropion and Telephone Counseling
D) Group therapy
E) Topiramate
Filed under: Uncategorized, USMLE Test Prep | Tagged: archer preventive medicine, cancer prevention, smoking cessation strategies, usmle step 3 preventive medicine | 8 Comments »
Posted on November 13, 2011 by Archer USMLE Reviews
271 ) A 52 year old man is distressed about his inability to quit smoking despite several office-based counseling and telephone counseling sessions. He has tried alternative therapies such as hypnosis and acupuncture without any benefit. His history is significant for severe depression for which he has been on treatment with Fluoxetine. He was recently diagnosed with coronary artery disease and had a stent placed 4 months ago. He understands that his smoking behavior greatly increases his risk of having a coronary event. He says he feels increasingly depressed about his inability to quit smoking. He denies any suicidal ideation. Which of the following is the most appropriate recommendations for this patient?
A) Nicotine replacement therapy
B) Varenicline
C) Buporopion
D) Rimonabant
E) Group therapy
Filed under: Uncategorized, USMLE Test Prep | Tagged: archer preventive medicine, cancer prevention, usmle step 3 preventive medicine | 10 Comments »
Posted on November 13, 2011 by Archer USMLE Reviews
270 ) A 62 year old man presents with complaints of chronic cough for the past two years. Cough occurs mostly in the morning and is associated with mild sputum production. Lately, he has noticed mild shortness of breath on exertion. He denies any chest pain or weightloss. He has a 50 pack year history of smoking. He has been counselled against smoking several times in the past but he believes it is quite difficult for him to quit smoking. He is concerned about lung cancer and requests if he can placed on an annual screening protocol. A chest x-ray and a CT scan of the chest show changes consistent with chronic obstructive pulmonary disease. There is no evidence of malignancy. Which of the following is the most appropriate screening recommendation for this patient?
A) Sputum Cytology every 6 months
B) Chest X-ray annually
C) No Screening
D) Spiral CT scan annually
E) PET scan annually
Filed under: Uncategorized, USMLE Test Prep | Tagged: Archer oncology, archer preventive medicine, Archer pulmonology, archer step 3 pulmonology, cancer prevention, STEP 3 ONCOLOGY, USMLE STEP 3 ONCOLOGY, USMLE STEP 3 PULMONOLOGY | 14 Comments »
Posted on November 7, 2011 by Archer USMLE Reviews
269 ) A 42 year old man is evaluated in the Emergency room for sudden onset pain and swelling in the right knee. He denies any trauma. His past medical history is significant for chronic alcohol abuse, diabetes and stage III chronic kidney disease. On physical examination, temperature is 100.5F and heart rate 110. Right knee is grossly swollen, warm, tender and erythematous. Rest of the physical examination is within normal limits. Arthrocentesis is performed and results reveal polymorphonuclear leucocytes of 50,000/µl and intra-cellular negatively birefringent needle shaped crystals under polarized microscopy. Synovial fluid gram stain is negative and bacterial cultures are pending. Complete blood count shows a white blood cell count of 18,000/µl with left shift. Which of the following is the most appropriate management recommendation?
A) Colchicine
B) Indometacin
C) Oral Prednisone
D) Broad spectrum antibiotics
E) Intra-articular Triamcinolone
Filed under: Uncategorized, USMLE Test Prep | Tagged: Archer Rheumatology, rhe, USMLE step 3 Rheumatology | 16 Comments »
Posted on November 7, 2011 by Archer USMLE Reviews
268 ) A 62 year old man with history of chronic alcohol abuse, Hepatitis C and gout is admitted for nausea, vomiting and diarrhea. His medications include colchicine for gout prophylaxis and multivitamins. The patient admits that he has increased his alcohol intake to about 4 pints vodka per day over the past two weeks. He has not been drinking or eating adequately. On physical examination, his vitals reveal a heart rate of 110 and blood pressure of 90/60. Oral mucosa are dry with poor skin turgor. Abdominal examination is benign. Laboratory investigations reveal acute renal insufficiency with a creatinine of 4mg% and BUN of 90mg%. His liver functuion tests are elevated with an AST of 160U/L, ALT 70U/L and ALP 240U/L. Total bilirubin is 2.0mg%. Complete blood count shows hemoglobin of 8.6gm%, WBC count of 1.6k/µl with absolute neutrophil count of 500/µl and Platelets 56k/μl. His laboratory investigations three months ago were with in normal limits. CT scan of the abdomen does not show any evidence of liver cirrhosis or Splenomegaly. The patient is started on intravenous hydration, thiamine and folic acid. Which of the following is the most appropriate next step in managing this patient”s pancytopenia?
A) Renal biopsy
B) Liver Biopsy
C) Stop colchicine
D) Bone marrow biopsy
E) Parvo virus RNA
Filed under: Uncategorized, USMLE Test Prep | Tagged: Archer hematology, Archer hematology. usmle step 3 hematology, Hematology, USMLE step 3 Hematology | 6 Comments »