Posted on June 11, 2017 by Archer USMLE Reviews
487) 57-year-old male with a history of mild COPD has been using albuterol as needed to manage his COPD without any other maintenance medications. Recently he has been experiencing a greater degree of shortness of breath, wheezing and a productive cough. Pulmonary function tests demonstrate a FEV1 that is 60% of predicted. What is the next best step for management of his COPD?
A. Add budesonide to treatment regimen
B. Add rofilumast to treatment regimen
C. Add tiotropium to treatment regimen
D. Add tiotropium plus fluticasone to treatment regimen
E. Add carbocystine to treatment regimen
Filed under: USMLE STEP III QUESTION BANK, USMLE Test Prep | Tagged: Archer pulmonology, archer usmle step 3, COPD MANAGEMENT, GOLD COPD GUIDELINES, usmle step 3, USMLE STEP 3 PULMONOLOGY | 6 Comments »
Posted on April 14, 2015 by Archer USMLE Reviews
470) An 11-year-old with a history of asthma and seasonal allergies is currently using albuterol to manage asthma symptoms. Recently his use of albuterol has increased from 1-2 days per week to 4 times per week for several weeks, though does not experience his symptoms daily. On physical examination, you find that his vital signs are within normal limits. Auscultation of his lungs reveals mild end expiratory wheezing. Given his persistent symptoms, what change should be made to his current treatment regimen?
A. Add salmeterol twice daily
B. Add montelukast 10mg daily
C. Add fluticasone daily
D. Add formoterol + budesonide twice daily
E. Add tiotropium
Filed under: USMLE STEP III QUESTION BANK, USMLE Test Prep | Tagged: Archer pulmonology, archer step 3 pulmonology, USMLE STEP 3 PULMONOLOGY | 11 Comments »
Posted on May 7, 2012 by Archer USMLE Reviews
425) A 80 day old african american woman with advanced dementia is admitted to the intensive care unit for overwhelming sepsis secondary to a urinary tract infection. At presentation she was hypoxemic and was subsequently, intubated and placed on a ventilator. Blood and urine cultures are obtained and she is started on antibiotics A chest x-ray post-intubation shows endotracheal tube in place and bilateral diffuse alveolar infiltrates. On examination, his pulse is 110/min, Blood pressure is 110/80 mm Hg and respiratory rate is 18/min with the patient on Assist-Control mode on the ventilator. Pulse oximetry reveals 88% on Fio2 90%. Chest examination reveals diffuse crackles. Cardiac examination reveals tachycardia, there is no S3 gallop. Brain natriuretic peptide level is 50 pg/ml . A 2D echocardiogram shows normal left ventricular function with an ejection fraction of 60%. His ventilator settings are as follows : Assist-Control mode; Fio2 ( Fraction of inspired oxygen) : 90%, Respiratory rate : 18/minute, Tidal Volume : 500 ml, PEEP ( Positive End expiatory Pressure) : 5 cm H20 . Arterial blood gas analysis reveals ( on Fio2 70%): pH : 7.36, pCo2 : 45 mmHg, pO2 : 55 mm Hg, Bicarbonate : 23 Meq/L
Which of the following is indicated at this time?
A) Intravenous Furosemide
B) Swan-Ganz Catheter Placement
C) Increase PEEP by 3 cm H20
D) Increase Tidal Volume to 650 ml
E) Increase Fio2 to 100%
Filed under: Uncategorized, USMLE Test Prep | Tagged: Archer Critical Care, Archer pulmonology, archer step 3 pulmonology, usmle step 3 critical care, USMLE STEP 3 PULMONOLOGY | 18 Comments »
Posted on April 14, 2012 by Archer USMLE Reviews
351) A 22 year old woman presents to the emergency room with complaints of shortness of breath, dizziness and tingling in her extremities. Her past medical history is unremarkable. She denies any history of blood clots in her family. She denies any recent long flight trips. She does not smoke. On examination, pulse is 110/min and respiratory rate is 26/min. She is afebrile and blood pressure is within normal limits. Pulse oximetry reveals 99% on room air. There are no physical abnormalities . A D-dimer level is 50µg/l . An electrocardiogram shows sinus tachycardia without ant ST-T changes. Chest x-ray is unremarkable. Which of the following is the most appropriate next step in management?
A) Start Conazepam
B) Re-breathing in to a paper bag
C) Start Calcium Gluconate
D) Re-assure and teach to deliberately slow down respiration
E) Admit to ward and start high flow oxygen
Filed under: Uncategorized, USMLE Test Prep | Tagged: Archer Psychiatry, Archer pulmonology, Psychiatry, USMLE Step 3 psychiatry, USMLE STEP 3 PULMONOLOGY | 12 Comments »
Posted on April 9, 2012 by Archer USMLE Reviews
348) A 6 year old boy is evaluated in your office for complaints of generalized swelling of his body. His mother reports she has noticed increasing swelling of his face, abdomen and extremities over the past 3 weeks. He does not have any significant past medical problems There is no history of fever or sore-throat. He denies shortness of breath or cough. On examination, he is afebrile, Blood pressure 100/60 mm Hg, Heart Rate 88/min, Respiratory rate is 16/minute. He appears comfortable. His face is grossly swollen. There is mild ascites. Lower extremities reveal gross edema up until the level of knees. Urinalysis showed 3+ proteinuria, no red cell or casts. A 24 hour Urine total protein is obtained and it shows proteinuria at 7.0 gm/24 hours. Serum total protein 4.0gm% and albumin 2.0gm% . He is advised to start sodium restricted diet. Which of the following management options is most appropriate next step for this patient?
A) Admit and start Albumin infusion
B) Corticosteroid Trial
C) Renal Biopsy
D) Obtain Anti-Streptolysin O titer
E) Furosemide
Filed under: Uncategorized, USMLE Test Prep | Tagged: ARCHER NEPHROLOGY, archer pediatrics, Archer pulmonology, dr.red nephrology lecture, usmle step 3 nephrology, USMLE STEP 3 PULMONOLOGY, USMLE STEP3 PEDIATRICS | 10 Comments »
Posted on April 9, 2012 by Archer USMLE Reviews
345) A 8 year old boy is brought to the Emergency room by his mother with complaints of shortness of breath. His mother reports she has noticed increasing swelling of his face, abdomen and extremities over the past 4 weeks. She scheduled an appointment with his pediatrician in the upcoming week however, she brought him to the ER today because he started getting distressed because of breathing difficult. The patient does not have any significant medical problems and mother reports he has always been a “good kid” at the school. There is no history of fever or sore-throat. On examination, he is afebrile, Blood pressure 100/60 mm Hg (Standing) , 108/60 ( Lying Down) and Heart Rate 92/min ( Standing), 88/min (Lying Down). He is tachypneic with respiratory rate is 26/min and is using accessory muscles. His face is grossly swollen. Breath sounds are reduced on both sides and there is massive ascites with scrotal edema. Lower extremities reveal gross edema up until the level of knees. Urinalysis showed 3+ proteinuria, no red cell casts or hematuria. Urine total protein is 8.0 gm/24 hours. Serum total protein 4.0gm% and albumin 2.0gm% . A chest X-ray shows bilateral pleural effusions. Which of the following management options is most appropriate next step for this patient?
A) Renal Biopsy
B) Corticosteroid Trial
C) Furosemide
D) Furosemide with Albumin infusion
E) Consult Nephrology
Filed under: Uncategorized, USMLE Test Prep | Tagged: ARCHER NEPHROLOGY, archer pediatrics, Archer pulmonology, dr.red nephrology lecture, usmle step 3 nephrology, USMLE STEP 3 PULMONOLOGY, USMLE STEP3 PEDIATRICS | 7 Comments »
Posted on April 7, 2012 by Archer USMLE Reviews
344) A 65 year old man with history of smoking is recently diagnosed with Stage IA non-small cell lung cancer of the right lung. He has no other significant past medical history. He was subsequently admitted and underwent wedge lower left pulmonary resection via. Video-assisted thoracic surgery (VATS). On the 2nd postoperative day, a chest x-ray reveals right sided pleural effusion was detected on chest X-Ray. On examination, he is afebrile. Breath sounds are decreased on the right side and there is dullness to auscultation. A thoracentesis is performed and a chest tube is inserted. Which of the following is most likely to be found on this pleural fluid analysis?
A) Low glucose
B) Elevated LDH > 1000 IU/L
C) High Amylase
D) Cholesterol level > 200mg%
E) Triglycerides > 110mg%
Filed under: Uncategorized, USMLE Test Prep | Tagged: Archer pulmonology, USMLE STEP 3 PULMONOLOGY | 6 Comments »
Posted on April 7, 2012 by Archer USMLE Reviews
343) A 52 year old woman with history of triple-negative, metastatic breast cancer presents to the Emergency Room with increasing shortness of breath. She received multiple courses of chemotherapy in the past and her cancer has progressed despite initial response to chemotherapy. On examination, she is afebrile, respiratory rate is 24/min, Blood pressure 120/70 mm Hg and Heart Rate 106/min. Breath sounds are decreased on right side of the chest and there is dullness to auscultation. A chest X-ray shows collapsed right lung and massive right sided pleural effusion. A thoracentesis is performed followed by thoracostomy tube is placement and about 2000 ml fluid is drained. About one houar after the procedure, the patient develops severe shortness of breath and cough with pink and foamy sputum. A pulse oximetry shows Sa02 at 86%. Which of the following most likely explains her newly developed symptoms?
A) Alveolar Hemorrhage
B) Lymphangiocarcinomatosis
C) Chylothorax due to Thoracic Duct Injury
D) Pulmonary edema
E) Acute Respiratory Distress Syndrome
Filed under: Uncategorized, USMLE Test Prep | Tagged: Archer pulmonology, USMLE STEP 3 PULMONOLOGY | 6 Comments »
Posted on April 7, 2012 by Archer USMLE Reviews
342) A 65 year old man presents with progressively increasing shortness of breath. He has a 100 pack year history of smoking. His past medical history is significant for coronary artery disease and congestive heart failure. He has been admitted several times in the past one year for Congestive heart failure exacerbations which resulted from his non-compliance with diet and medications. His medications include aspirin, metoprolol, enalapril, and spironolactone and tiotropium inhaler. On examination, he is afebrile with respiratory rate 24/min, pulse 106beats/min, blood pressure 140/90. Crepitations are heard at bilateral lung bases and breath sounds decreased bilaterally. A 2D echocardiogram reveals ejection fraction at 30% . An EKG reveals changes consistent with left ventricular hypertrophy. A Chest X-ray shows moderate pleural effusions bilaterally. Which of the following is the most appropriate next step in management of pleural effusion?
A) Intravenous Furosemide
B) Tube Thoracostomy
C) Tube thoracostomy followed by Pleurodesis
D) Needle thoracentesis
E) Implantable Cardioverter-Defibrillator (ICD) placement
Filed under: Uncategorized, USMLE Test Prep | Tagged: Archer cardiology, Archer pulmonology, USMLE STEP 3 CARDIOLOGY, USMLE STEP 3 PULMONOLOGY | 10 Comments »
Posted on April 7, 2012 by Archer USMLE Reviews
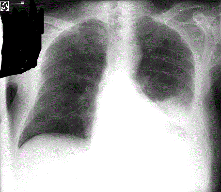
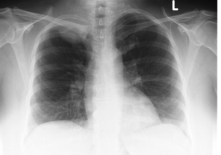
341) A 78 year old man presents with progressively increasing shortness of breath. He has a 100 pack year history of smoking. His past medical history is significant for chronic obstructive pulmonary disease, coronary artery disease and congestive heart failure. He has been admitted several times in the past one year for Congestive heart failure exacerbations which resulted from his non-compliance with diet and medications. His medications include aspirin, metoprolol, enalapril, and spironolactone and tiotropium inhaler. On examination, he is afebrile with respiratory rate 24/min, pulse 106beats/min, blood pressure 140/90. Breath sounds are decreased and there is dullness to percussion on the left side of the chest. Heart sounds are regular and there is no S3 gallop. A 2D echocardiogram reveals ejection fraction at 30% and a brain natriuretic peptide 250 pg/ml (Normal less than 100pg/ml) . An EKG reveals changes consistent with left ventricular hypertrophy. A Chest X-ray is shown below:

Which of the following is the most appropriate next step in management?
A) Intravenous Furosemide
B) Tube Thoracostomy
C) Intravenos Nitroglycerin
D) Needle thoracentesis
E) Implantable Cardioverter-Defibrillator (ICD) placement
Filed under: Uncategorized, USMLE Test Prep | Tagged: Archer cardiology, Archer pulmonology, USMLE STEP 3 CARDIOLOGY, USMLE STEP 3 PULMONOLOGY | 10 Comments »
Posted on April 7, 2012 by Archer USMLE Reviews
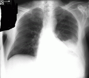
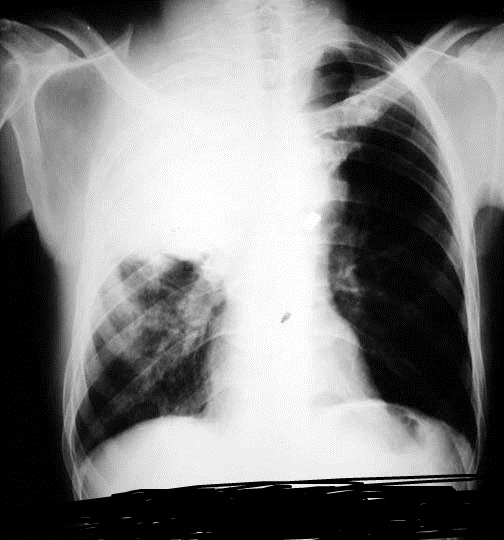
340) A 52 year old woman with history of triple-negative, metastatic breast cancer presents to the Emergency Room with increasing shortness of breath. This is her third Emergency room visit in the past 2 months. Earlier, she was admitted to the hospital twice for massive pleural effusion and underwent therapeutic thoracentesis. She was told that the cancer had spread to her lungs and pleura. She received multiple courses of chemotherapy in the past and her cancer has progressed despite initial response to chemotherapy. Her oncologist recommended palliative care. On examination, she is afebrile, respiratory rate is 24/min, Blood pressure 120/70 mm Hg and Heart Rate 106/min. Breath sounds are decreased on right side of the chest. D-dimer level is 60ng/ml ( normal < 500 ng/ml) . A chest X-ray is shown below:

Which of the following management options is most appropriate for this patient?
A) Obtain Pleural biopsy
B) Tube thoracostomy and Pleurodesis
C) Start Heparin and obtain CT Angiogram
D) Pleuro-perintoneal shunt
E) Repeat Therapeutic thoracentesis
Filed under: Uncategorized, USMLE Test Prep | Tagged: Archer cardiology, Archer oncology, archer palliative care, Archer pulmonology, Archer radiology, USMLE STEP 3 CARDIOLOGY, USMLE STEP 3 ONCOLOGY, usmle step 3 palliative care, USMLE STEP 3 PULMONOLOGY, USMLE STEP 3 RADIOLOGY | 17 Comments »
Posted on April 3, 2012 by Archer USMLE Reviews
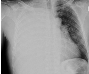
339) A 55 year old man presents to the Emergency Room with complaints of swelling of his face and worsening cough for the past two days. Swelling increases on lying down. He complaints of shortness of breath for past 2 hours. He has no significant past medical problems. He smoked about 1 pack per day for the past 25 years and consumes alcohol socially. On examination, he is in moderate respiratory distress with audible, loud Stridor. His face is grossly swollen and the veins over the neck, anterior chest and the face are engorged. On auscultation, there are no crepitations, s1 and s2 are regular and normal and there is no s3 gallop . A chest X-ray is shown below:

Which of the following is the most appropriate next step in management?
A) Radiation Therapy
B) Chemotherapy
C) CT guided Per-cutaneous Needle Biopsy
D) Video-Assisted Thoracoscopic Surgery (VATS)
E) Epinephrine
Filed under: Uncategorized, USMLE Test Prep | Tagged: Archer cardiology, Archer oncology, Archer pulmonology, Archer radiology, USMLE STEP 3 CARDIOLOGY, USMLE STEP 3 ONCOLOGY, USMLE STEP 3 PULMONOLOGY, USMLE STEP 3 RADIOLOGY | 9 Comments »
Posted on April 3, 2012 by Archer USMLE Reviews
338) A 65 year old man presents to the Emergency Room with complaints of swelling of his face and worsening cough for the past two days. Swelling increases on lying down. He has no significant past medical problems. He smoked about 1 pack per day for the past 45 years and consumes alcohol socially. On examination, his vitals are satble with a blood pressure of 130/80 mm Hg. His face is grossly swollen and the veins over the neck, anterior chest and the face are engorged. There is no stridor. There is no laryngeal edema. Chest is clear to auscultation bilaterally. Cardiovascular examination shows normal s1 and s2 and there is no s3 gallop . A chest X-ray is shown below:

Which of the following is the most appropriate next step in management?
A) Radiation Therapy
B) Chemotherapy
C) CT guided Per-cutaneous Needle Biopsy
D) Video-Assisted Thoracoscopic Surgery (VATS)
E) Endotracheal Intubation
Filed under: Uncategorized, USMLE Test Prep | Tagged: Archer cardiology, Archer oncology, Archer pulmonology, Archer radiology, USMLE STEP 3 CARDIOLOGY, USMLE STEP 3 ONCOLOGY, USMLE STEP 3 PULMONOLOGY, USMLE STEP 3 RADIOLOGY | 12 Comments »
Posted on March 31, 2012 by Archer USMLE Reviews
334) A 50 year old male nurse is evaluated in your office for a recently discovered lung nodule. About 1 month ago, he had whole body CT scans because he read over the internet that these can be helpful in early detection of cancer. A high resolution CT scan of chest revealed a 7 mm nodule with very smooth edges. The margins are well-defined and there is no calcification. The patient has never smoked in his life and he has no family history of cancer. He has no other risk factors for lung cancer. He denies any night sweats, weightloss or chronic cough. His recent Tuberculin skin test was negative. Laboratory investigations including complete blood count and comprehensive metabolic panel are within normal limits.
Which of the following is the most appropriate management option?
A) Obtain a Positron Emission Tomography scan ( PET/CT scan)
B) No further follow-up
C) CT guided biopsy of the nodule
D) Follow-up CT scan at 6-12 months and then at 2 years if no change
E) Refer to Cardiothoracic surgery for Wedge Resection
Filed under: Uncategorized, USMLE Test Prep | Tagged: archer preventive medicine, Archer pulmonology, archer step 3 pulmonology, cancer prevention, usmle step 3 preventive medicine, USMLE STEP 3 PULMONOLOGY | 9 Comments »
Posted on February 28, 2012 by Archer USMLE Reviews
329) A 62 year old man presents to your office complaining of dry cough for past several months. Recently, he also noticed shortness of breath on exertion. He denies any fever, hemoptysis or weight loss. He has no history of infections. He does not smoke. He worked as a soft-ware consultant for past 40 years. He has no other medical problems and has never been hospitalized. On examination, he is afebrile, blood pressure 120/80 mm Hg, RR 18/min and Pulse 82/min. There are no palpable chest-wall masses or lymphadenopathy. On auscultation, fine crackles are heard at bilateral lung bases. A high resolution CT scan of the lungs shows sub-pleural cyst formation with honey combing. The patient undergoes an open lung biopsy for confirmation of diagnosis. Which of the following histo-pathological patterns is likely to be found in this condition?
A) Non-specific Interstitial Pneumonia ( NSIP)
B) Desquamative Interstitial Pneumonia (DIP)
C) Usual Interstitial Pneumonia (UIP)
D) Bronchiolitis Obliterans Organizing Pneumonia (BOOP)
E) Acute Interstitial Pneumonia (AIP)
Filed under: Uncategorized, USMLE Test Prep | Tagged: Archer pulmonology, archer step 3 pulmonology, USMLE STEP 3 PULMONOLOGY, usmle-step-3-pulmoology | 11 Comments »
Posted on February 28, 2012 by Archer USMLE Reviews
328) A 66 year old man is seen in your office for progressive shortness of breath on exertion for the past one year. He also reports dry cough. He denies any fever, hemoptysis or weight loss. He has no history of infections. He denies smoking. He has no other medical problems and has never been hospitalized. On examination, he is afebrile, blood pressure 120/80 mm Hg, RR 18/min and Pulse 82/min. There are no palpable chest-wall masses or lymphadenopathy. On auscultation, crackles are heard all over the lung fields, more pronounced at lung bases. Extremities show mild digital clubbing.
A chest x-ray is shown below:

Which of the following is expected to be seen with this disease?
A) Young age at onset
B) Rapid progression
C) High Resolution CT scans showing ill-defined cysts and pleural plaques
D) Poor or no response to steroids
E) Obstructive pattern on Pulmonary function tests
Filed under: Uncategorized, USMLE Test Prep | Tagged: Archer pulmonology, archer step 3 pulmonology, USMLE STEP 3 PULMONOLOGY, usmle-step-3-pulmoology | 16 Comments »
Posted on February 27, 2012 by Archer USMLE Reviews
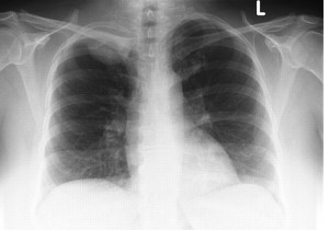
326) A 55 year old african-american man presents to your office with complaints of shortness of breath that has slowly progressed over the past several months. He also reports chest pain which in non-pleuritic in nature. He has lost about 10lbs weight in the past three months. He has changed several jobs but he currently works as a sales representative for a drug company. On examination, his temperature is 100F, Pulse 98/min, RR 20/min and Blood Pressure 100/60 mm HG. He is in mild distress due to shortness of breath. On chest examination, there is dullness to percussion over the right side of the chest. No masses are palpable. Laboratory investigations reveal WBC 8k/μl with normal differential, Hgb 10.5gm%, Platelets 550k/μl, Calcium 11.2gm% ( (Normal 8.9 to 10.5 mg%)
A chest-x-ray is shown below:

Which of the following element in the history would be most helpful in making a presumptive diagnosis of his presentation?
A) Smoking
B) Family history of Cancer
C) Bone pain
D) Flank pain and Hematuria
E) Previous Occupation
Filed under: Uncategorized, USMLE Test Prep | Tagged: Archer pulmonology, archer step 3 pulmonology, USMLE STEP 3 PULMONOLOGY | 11 Comments »
Posted on February 26, 2012 by Archer USMLE Reviews
322) A 45 year man is evaluated in emergency department for severe cough accompanied by bloody expectoration. Cough is of 4 month duration associated with sputum production but he is worried because of the new change in the character of his sputum which is now frankly bloody. He reports a weight-loss of 10 lbs in the past two months. He has intermittent nigh-sweats and low grade fever on a daily basis. On examination, his temperature is 100F, Pulse 98/min, RR 20/min and Blood Pressure 100/60 mm HG. He appears cachectic and in moderate distress due to cough. On auscultation, high-pitched bronchial breath sounds are heard in the right upper chest.
A chest-x-ray is shown below:

The patient is admitted and is placed on respiratory, negative-pressure isolation. HIV rapid test is positive. Sputum smears for Acid Fast Bacilli (AFB) are positive. A CD4 count is 155/μl ( Normal = 650 to 1150/µl). Which of the following is the most appropriate next step in management at this time?
A) Bronchoscopy and send bronchial washing for clutures
B) Start Multi-Drug anti-tuberculosis Therapy alone
C) Start Highly Active Antiretroviral Therapy (HAART) plus Multi-drug Anti-TB therapy
D) Start HAART and await sputum for AFB identification and sensitivity testing
E) Start Clarithromycin for Mycobacterium Avium Intracellulare (MAC)
Filed under: Uncategorized, USMLE Test Prep | Tagged: Archer Infectious Diseases, Archer pulmonology, USMLE STEP 3 INFECTIOUS DISEASES, USMLE STEP 3 PULMONOLOGY | 39 Comments »
Posted on January 26, 2012 by Archer USMLE Reviews
313) A 54 year old man is evaluated in your office for swelling of bilateral wrists and ankles. He also describes pain in his wrists and ankles as well as in the lower legs. Symptoms started 2 months ago and have been progressively worse. He reports limitation in walking because of extreme pain. He denies any stiffness. His past medical history is significant for chronic obstructive pulmonary disease for which he uses Tiotropium inhaler. He recently quit smoking but reports having smoked about 2 packs per day for 35 years. On physical examination, his vitals are within normal limits. Musculoskeletal exam reveals swelling and tenderness in bilateral wrists and ankles. There is an associated grade 3 clubbing in the fingers. There also tenderness all over the tibiae. Overlying skin is thickened and erythematous. An erythrocyte sedimentation rate is elevated at 30 mm/hr. An x-ray of his upper extremity is shown below:

Which of the following investigations should be ordered next?
A) Arterial Doppler
B) Rheumatoid Factor
C) Hepatitis C serology
D) CT Scan of the Chest
E) Anti-Citrullin Peptide
Filed under: Uncategorized, USMLE Test Prep | Tagged: Archer pulmonology, Archer Rheumatology, arthritis, USMLE STEP 3 PULMONOLOGY, USMLE step 3 Rheumatology | 6 Comments »
Posted on November 13, 2011 by Archer USMLE Reviews
270 ) A 62 year old man presents with complaints of chronic cough for the past two years. Cough occurs mostly in the morning and is associated with mild sputum production. Lately, he has noticed mild shortness of breath on exertion. He denies any chest pain or weightloss. He has a 50 pack year history of smoking. He has been counselled against smoking several times in the past but he believes it is quite difficult for him to quit smoking. He is concerned about lung cancer and requests if he can placed on an annual screening protocol. A chest x-ray and a CT scan of the chest show changes consistent with chronic obstructive pulmonary disease. There is no evidence of malignancy. Which of the following is the most appropriate screening recommendation for this patient?
A) Sputum Cytology every 6 months
B) Chest X-ray annually
C) No Screening
D) Spiral CT scan annually
E) PET scan annually
Filed under: Uncategorized, USMLE Test Prep | Tagged: Archer oncology, archer preventive medicine, Archer pulmonology, archer step 3 pulmonology, cancer prevention, STEP 3 ONCOLOGY, USMLE STEP 3 ONCOLOGY, USMLE STEP 3 PULMONOLOGY | 14 Comments »
Posted on August 5, 2011 by Archer USMLE Reviews
248 ) A 34 year old african-american man with past medical history of HIV infection is evaluated in the Emergency Room for severe shortness of breath on exertion for the past few hours. He also reports dry cough for the past 3 days. He has been non-compliant with Anti-retroviral therapy and his most recent CD4 count was 160 cells/µl. On examination, he is febrile with a temperature of 101F, respiratory rate is 22, Blood pressure is 120/70 mm Hg. Oxygen saturation is 86% by pulse-oximetry. Chest examination reveals scattered rhonchii bilaterally. He is immediately placed on 4 liters oxygen by nasal cannula and his repeat oxygen saturation is 94%. Arterial blood gases on 4 liters nasal oxygen show Ph 7.45, Po2 75, Pco2 32, Hco3- 24. A chest x-ray shows bilateral interstitial infiltrates. A Lactic Dehydrogenase level is elevated at 700U/L. Which of the following is most appropriate management ?
A) Intubation
B) Start Trimethoprim/ Suflamethoxazole
C) Start Trimethoprim/ Sulfamethoxazole, Levofloxacin and Corticosteroids
D) Start Trimethoprim/ Sulfamethoxazole and Corticosteroids
E) Start Levofloxacin
Filed under: USMLE Test Prep | Tagged: Archer Infectious Diseases, Archer pulmonology, USMLE STEP 3 INFECTIOUS DISEASES, USMLE STEP 3 PULMONOLOGY | 10 Comments »
Posted on August 3, 2011 by Archer USMLE Reviews
247 ) A 32 year old hispanic woman with past medical history of HIV infection on Anti-retroviral therapy evaluated in your office because she is concerned about her potential exposure to Tuberculosis. Her father has come to visit her from Mexico and he was diagnosed with cavitary tuberculosis of left lung three week ago. He is currently receiving multi-drug anti-tuberculosis therapy. The patient says she has been taking care of her father at home since the diagnosis was made. A Tuberculin skin test is administered and is negative after 72 hours. Patient denies any fever, cough, chest pain or weight loss. Which of the following is most appropriate management ?
A) Re-assurance
B) Repeat PPD in 3 months
C) Start Isoniazid
D) Chest X-ray
E) Repeat PPD in one year
Filed under: USMLE Test Prep | Tagged: Archer Infectious Diseases, Archer pulmonology, USMLE STEP 3 INFECTIOUS DISEASES, USMLE STEP 3 PULMONOLOGY | 13 Comments »
Posted on August 3, 2011 by Archer USMLE Reviews
246 ) A 32 year old Mexican woman is evaluated in your office because she is concerned about her potential exposure to Tuberculosis. Her father has come to visit her from Mexico and he was diagnosed with cavitary tuberculosis of left lung three week ago. He is currently receiving multi-drug anti-tuberculosis therapy. The patient says she has been taking care of her father at home since the diagnosis was made. A Tuberculin skin test is administered and is negative after 72 hours. Patient denies any fever, cough, chest pain or weight loss. Which of the following is most appropriate management ?
A) Re-assurance
B) Repeat PPD in 3 months
C) Start Isoniazid
D) Chest X-ray
E) Repeat PPD in one year
Filed under: USMLE Test Prep | Tagged: Archer Infectious Diseases, Archer pulmonology, USMLE STEP 3 INFECTIOUS DISEASES, USMLE STEP 3 PULMONOLOGY | 12 Comments »
Posted on July 9, 2011 by Archer USMLE Reviews
222 ) A 70-year-old white man with type 2 diabetes mellitus, hypertension, coronary artery disease, chronic kidney disease and severe chronic obstructive pulmonary disease is admitted with increasing shortness of breath. The patient lives by himself and he has not been very compliant with his medications. On examination, he is awake and oriented, blood pressure is 230/140 . Funduscopic examination reveals papilledema. Chest exam reveals bilateral crepitations. Neurological examination is normal. An electrocardiogram reveals non specific ST segment changes. A chest x-ray shows bilateral pulmonary edema. Pulse oximetry reveals a saturation of 89% on room air. The patient is started on oxygen by nasal cannula. Laboratory studies reveal a creatinine of 4.2mg% as opposed to his baseline creatinine of 2.2mg%. Which of the following is the most appropriate next step in management?
A) Non-contrast CT Scan, head
B) Intravenous Sodium nitroprusside
C) Intravenous Labetalol
D) Fenoldapam
E) Cardiac catheterization.
Filed under: USMLE Test Prep | Tagged: Archer cardiology, Archer pulmonology, USMLE STEP 3 CARDIOLOGY, usmle step 3 critical care, USMLE STEP 3 PULMONOLOGY | 5 Comments »
Posted on July 9, 2011 by Archer USMLE Reviews
221 ) A 73-year-old white man with type 2 diabetes mellitus, hypertension, coronary artery disease is admitted with increasing shortness of breath and lower-extremity edema. A brain natriuretic peptide level is 1000 pg/ml. His medications include glyburide, aspirin, atorvastatin and enalapril. He is allergic to sulfonamides. On physical examination, he has bilateral crepitations more in the right chest. Extremity examination reveals 3+ edema bilaterally. An electrocardiogram reveals changes consistent with left venricular hypertrophy but no evidence of acute ischemia. Cardiac enzymes are negative. A chest x-ray reveals bilateral pulmonary edema. Pulse oximetry reveals a saturation of 89% on room air. The patient is started on oxygen by nasal cannula. Which of the following is the most appropriate next step in management?
A) Intubation
B) Intravenous Furosemide
C) Bilevel Positive Airway pressure (BIPAP)
D) Intravenous Ethacrynic acid
E) Cardiac catheterization.
Filed under: USMLE Test Prep | Tagged: Archer cardiology, Archer pulmonology, USMLE STEP 3 CARDIOLOGY, usmle step 3 critical care, USMLE STEP 3 PULMONOLOGY | 6 Comments »
Posted on June 24, 2011 by Archer USMLE Reviews
191) A 68-year-old man with history of chronic obstructive pulmonary disease presents with increasing shortness of breath and increasing sputum production over the past 5 days. The patient also has history of atrial fibrillation for which he is on beta blocker and aspirin. Physical examination reveals a fever of 102°F, scattered wheezes and reduced breath sounds at the right lung base. He is awake and oriented to place, person and time. EKG shows atrial fibrillation that is rate controlled. Chest X-ray reveals a new right sided pleural effusion. A diagnostic thoracentesis is planned. Which of the following is a contraindication for thoracentesis in this patient?
a. Fever > 101F
b. A new right sided effusion
c. Severe left lung disease
d. Atrial Fibrillation
e. Age
Filed under: USMLE Test Prep | Tagged: Archer pulmonology, USMLE STEP 3 PULMONOLOGY | 8 Comments »
Posted on June 17, 2011 by Archer USMLE Reviews
187) A 34 year old obese man presents with complaints of cough of 3 months’ duration. His cough is non-productive and occurs daily. It is worse in the night. He also reports a need to clear his throat constantly. He denies any nasal congestion. He denies smoking or alcohol. He also reports a chronic history of heart burn for which he uses over the counter antacids intermittently. He works as a nurse in a health care facility. He denies any fever or night sweats or weightloss. On examination, throat is normal in appearance with out any exudate or eythema. Lungs are clear to auscultation. A Chest X-ray is normal. The most appropriate initial diagnostic step in evaluating his cough is :
A) Tuberculin skin test
B) Methacholine challenge
C) Albuterol trial
D) Omeprazole trial
E) 24 Hour esophageal pH monitoring
Filed under: USMLE Test Prep | Tagged: archer step 3 pulmonology, archer usmle step 3, USMLE STEP 3 PULMONOLOGY, usmle step 3 questions | 7 Comments »
Posted on June 6, 2011 by Archer USMLE Reviews
170) A 41 year old woman is evaluated in the office for 20lb weight loss over the last three months. She has a history of Hodgkin’s disease involving mediastinal and cervical lymph nodes and was treated with chemotherapy and Involved field radiation therapy at the age of 12. She is born in the USA and never traveled outside United States. Her recent tuberculin skin test was 2mm about 1 month ago. Recent mammogram was normal. She denies any night sweats or pruritus. She reports chronic cough over the last 6 months associated with intermittent mild hemoptysis. On physical examination, there is no peripheral lymphadenopathy. A Chest X-ray is shown below:

Which of the following is the most likely explanation for the patient’s abnormalities?
A) Tuberculosis
B) Long term sequel of Hodgkin’s therapy
C) Recurrent Hodgkin’s disease
D) Radiation fibrosis
E) Radiation Pneumonitis
Filed under: USMLE Test Prep | Tagged: Archer oncology, Archer pulmonology, Archer radiology, Archer USMLE Step 3 X-rays, Archer X-rays, USMLE STEP 3 ONCOLOGY, USMLE STEP 3 PULMONOLOGY, usmle step 3 questions, USMLE STEP 3 RADIOLOGY, Usmle step 3 X-rays | 7 Comments »