Posted on January 30, 2012 by Archer USMLE Reviews
318) A 55 year old woman underwent a debulking surgery with total abdominal hysterectomy, Salpingo-oophorectomy, omentectomy and appendicectomy for a recently diagnosed Stage IIIC Epithelial Ovarian Cancer. Her intra-operative course was complicated by severe blood loss and she received about 15 units of Packed Red Blood Cells. She is currently in the intensive care unit. Six hours after surgery, her blood pressure drops to 80/50 mm Hg. On examination, she is afebrile. She is drowsy but can be awakened. She denies any chest pain or shortness of breath. She has muscle tremors. Chest is clear to auscultation. Abdominal sutures are intact with no clinical evidence of Hematoma. An electrocardiogram is shown below:

Which of the following is the most likely explanation of the patient’s acute findings?
A) Hyperkalemia
B) Acute Myocardial Infarction
C) Circulatory Overload
D) Transfusion Associated Acute Lung injury
E) Citrate Toxicity
Filed under: Uncategorized, USMLE Test Prep | Tagged: ARCHER ACID-BASE, Archer cardiology, ARCHER FLUID AND ELECTROLYTES, Archer hematology, ARCHER NEPHROLOGY, dr.red nephrology lecture, Hematology, USMLE STEP 3 CARDIOLOGY, USMLE step 3 Hematology, usmle step 3 nephrology | 5 Comments »
Posted on January 30, 2012 by Archer USMLE Reviews
317) A 68-year-old african-american man with history of NYHA Class III congestive heart failure presents to your office for a follow up visit. His other medical problems include Hypertension, Stage II chronic kidney disease and Coronary artery disease. During his office visit three months ago , she was noted to have moderate hyperkalemia. At that time, his medications were adjusted which involved discontinuation of spironolactone and dose-reduction of ACE inhibitor. His other medications included Atenolol and Aspirin. She reports that she was admitted to hospital two weeks ago with severe hyperkalemia. He denies any complaints at this time. A serum potassium level is 4.5mEq/l , serum creatinine 1.8mg% and most recent echocardiogram revealed a left ventricular ejection fraction of 35% . His current medications include Atenolol, Hydrochlorthiazide and Aspirin. Which of the following is the most appropriate next step?
A) Re-start ACE inhibitor at a lower dose
B) Start Angiotensin Receptor Blocker (ARB)
C) Start Hydralazine and Isosorbide
D) Continue current medications
E) Start Spironolactone
Filed under: Uncategorized, USMLE Test Prep | Tagged: ARCHER ACID-BASE, Archer cardiology, ARCHER FLUID AND ELECTROLYTES, ARCHER NEPHROLOGY, dr.red nephrology lecture, USMLE STEP 3 CARDIOLOGY, usmle step 3 nephrology | 8 Comments »
Posted on January 30, 2012 by Archer USMLE Reviews
316) A 72-year-old man was admitted to the hospital with right leg deep vein thrombosis. He has a history of prostate cancer, well-controlled diabetes and mild renal insufficiency. His baseline creatinine is usually between 1.4 to 1.6mg%. His laboratory investigations at admission were normal except for increased creatinine at 1.4mg% . Venous doppler showed leg femoral deep vein thrombosis in femoral vein. He was started on Heparin drip and oral warfarin. Three days after admission, the patient develops persistent hyperkalemia (6.5 to 7.0 mEq/l). Rest of his electrolytes are normal and renal function is at his baseline. His INR ( International Normalized Ratio) is 1.4. There are no EKG abnormalities. His Urine Osmolality is 300mOsm/kg, Urine K 20 mmol/L and Serum Osmolality 280 mOsm/kg. He is given insulin and dextrose therapy however, hyperkalemia persists. Which of the following is the most appropriate next step in management?
A) Start Kayexalate
B) Discontinue Heparin and Start Enoxaparin
C) Discontinue Heparin and place Green field filter
D) Hemodilaysis
E) Intravenous Sodium bicarbonate
Filed under: Uncategorized, USMLE Test Prep | Tagged: ARCHER ACID-BASE, Archer emergency medicine, ARCHER FLUID AND ELECTROLYTES, ARCHER NEPHROLOGY, dr.red nephrology lecture, usmle step 3 nephrology | 8 Comments »
Posted on January 30, 2012 by Archer USMLE Reviews
315) A 64-year-old man with history of diabetes mellitus is evaluated in your office during a follow-up visit . He was admitted to the hospital one week ago because of incidentally discovered high serum potassium of 7.0mEq/L on his routine labs. He has history of hypertension and Stage I chronic kidney disease . His medications prior to the hospital admission included glyburide and enalapril. However, Enalapril was discontinued and he was started on hydrochlorthiazide during that admission. He denies any complaints at this time. A serum potassium level is 4.5mEq/l , serum creatinine 1.8mg% and urinalysis reveals proteinuria. 24 hour urine collection reveals 300mg proteinuria/24hrs. Which of the following is the most appropriate next step?
A) Re-start Enalapril at 50% of previous dose
B) Start Losartan
C) Start Hydralazine and Isosorbide
D) Start Spironolactone
E) Renal biopsy
Filed under: Uncategorized, USMLE Test Prep | Tagged: ARCHER ACID-BASE, ARCHER FLUID AND ELECTROLYTES, ARCHER NEPHROLOGY, dr.red nephrology lecture, usmle step 3 nephrology | 10 Comments »
Posted on January 30, 2012 by Archer USMLE Reviews
314) A 70-year-old man presented to the Emergency room with a 2-day history of increased thirst and frequency of urination. He reports generalized muscle weakness. His past medical history is significant for hypertension, diabetes mellitus and Stage III chronic kidney disease. His medications include Insulin Glargine, Lispro insulin, Enalapril , Atenolol and Spironolactone. Laboratory investigations reveal
Blood glucose 400mg%
Sodium 130 mEq/L
Potassium 7.5 mEq/L
Bicarbonate 26mEq/L
Chloride 100mEq/L
Creatinine 4.2mg%
An electrocardiogram is shown below:

Which of the following is the most appropriate next step?
A) Reduce the dose of Enalapril
B) Hemodialysis
C) Insulin Intravenous
D) Calcium Gluconate IV
E) Sodium biacrbonate IV
Filed under: Uncategorized, USMLE Test Prep | Tagged: ARCHER ACID-BASE, Archer cardiology, ARCHER ELECTROCARDIOGRAMS, ARCHER FLUID AND ELECTROLYTES, ARCHER NEPHROLOGY, dr.red nephrology lecture, USMLE ELECTROCARDIOGRAMS, USMLE STEP 3 CARDIOLOGY, usmle step 3 nephrology | 11 Comments »
Posted on January 26, 2012 by Archer USMLE Reviews
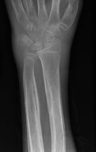
313) A 54 year old man is evaluated in your office for swelling of bilateral wrists and ankles. He also describes pain in his wrists and ankles as well as in the lower legs. Symptoms started 2 months ago and have been progressively worse. He reports limitation in walking because of extreme pain. He denies any stiffness. His past medical history is significant for chronic obstructive pulmonary disease for which he uses Tiotropium inhaler. He recently quit smoking but reports having smoked about 2 packs per day for 35 years. On physical examination, his vitals are within normal limits. Musculoskeletal exam reveals swelling and tenderness in bilateral wrists and ankles. There is an associated grade 3 clubbing in the fingers. There also tenderness all over the tibiae. Overlying skin is thickened and erythematous. An erythrocyte sedimentation rate is elevated at 30 mm/hr. An x-ray of his upper extremity is shown below:

Which of the following investigations should be ordered next?
A) Arterial Doppler
B) Rheumatoid Factor
C) Hepatitis C serology
D) CT Scan of the Chest
E) Anti-Citrullin Peptide
Filed under: Uncategorized, USMLE Test Prep | Tagged: Archer pulmonology, Archer Rheumatology, arthritis, USMLE STEP 3 PULMONOLOGY, USMLE step 3 Rheumatology | 6 Comments »
Posted on January 25, 2012 by Archer USMLE Reviews
312) A 73 year old man with history of Dementia and well-controlled Parkinson’s disease was admitted to the hospital 3 days ago with fever, hypotension and dysuria. He was diagnosed with sepsis secondary to urinary tract infection and has been on treatment with Ampicillin and Gentamicin. Urine cultures revealed enterococci. Over the past two days, his blood pressure improved and he has been afebrile however, he has become increasingly immobile and excessively tremulous. He is unable to rise from a chair or walk without help. His home medications include Levodopa, Benserazide and Selegeline. On physical examination, blood pressure is 130/80 mm Hg. He is alert, awake and oriented. He has severe bilateral resting tremor, generalized rigidity and bradykinesia . Results of routine blood tests showed no abnormality and CT of the head is normal. Which of the following is the most appropriate management at this time?
A) Increase Levodopa
B) Add Carbidopa
C) Discontinue Gentamicin
D) Add Piperacillin-Tazobactam
E) Start Bromocriptine
Filed under: Uncategorized, USMLE Test Prep | Tagged: Archer Infectious Diseases, archer neurology, neurology mcq, neurology usmle mcqs, USMLE STEP 3 INFECTIOUS DISEASES, usmle step 3 neurology | 6 Comments »
Posted on January 17, 2012 by Archer USMLE Reviews
311) A 3 year old male child is brought to the emergency room by his mother after he fell from his tricycle and sustained an injury to his head . The child was found to be alert and awake after the fall, however, he reported mild pain on the right side of his head. His mother noted a small bruise and swelling over the right side of his scalp. There is no history of vomiting or nausea. He has no past history of convulsions or epilepsy. Family history is unremarkable. At this time, child is quiet and reports mild headache. On examination, he is alert and awake. He is not in distress. There is small contusion on the fronto-parietal aspect of his scalp. There is no evidence of hematoma. Palpation does not reveal any depressed fracture. Neurological examination is normal with out any deficits. Rest of the physical exam is normal. Which of the following is the most appropriate management at this time?
A) Contact Child Protection Services
B) Perform Head CT scan
C) Admit to Hospital
D) Observe at home
E) Skull X-rays
Filed under: Uncategorized, USMLE Test Prep | Tagged: archer neurology, archer pediatrics, emergency medicine archer, neurology usmle mcqs, usmle step 3 emergency medicine, usmle step 3 neurology, USMLE STEP3 PEDIATRICS | 13 Comments »
Posted on January 17, 2012 by Archer USMLE Reviews
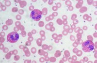
310) A 28 year old man is admitted with abdominal pain and diarrhea of one day duration. Abdominal pain is diffuse in nature, mild to moderate and is associated with cramps and vomiting. He reports having had recurrent attacks of abdominal pain and diarrhea for several months. His past medical history is significant for Vitiligo and Hypothyroidism. He denies any allergies, atopy or Asthma. Family history is unremarkable. On examination, his mucous membranes and dry and he appears moderately dehydrated. He is afebrile, Blood pressure is 90/60 mm HG, heart rate 120/min, Respiratory rate 18/min. There is no peripheral lymphadenopathy. Skin examination reveals hypopigmented patches consistent with Vitiligo on his chest and the extremities. Abdominal examination is benign , Spleen is not palpable. CT scan of the chest, abdomen and pelvis are normal. Stool anlaysis performed several times during his previous episodes did not reveal any evidence of parasitic infection or leukocytes or blood. Laboratory investigations and peripheral smear are shown below:
WBC 6.0k/µl
Differential: Neutrophils 45%, Lymphocytes 34% ( N = 20 to 40%), Monocytes 6%, Eosinophils 15% ( normal range 1 to 4%)
Hemoglobin 14.5 g/dL ( Normal = 13.0 to 16.5 gm%),
Mean cell volume (MCV) 84 fL
Platelet count 310k/µl
Stool Ova and Parasites negative
TSH 4 μIU/ml ( 0.3 – 5.0 uIU/ml)
Which of the following diagnoses is most likely explanation for the patient’s clinical presenation?
A) Giardiasis
B) Addison’s disease
C) Vitiligo
D) Chronic Myeloid Leukemia
E) Lymphoma
Filed under: Uncategorized, USMLE Test Prep | Tagged: Archer hematology, Hematology, USMLE step 3 Hematology | 33 Comments »
Posted on January 9, 2012 by Archer USMLE Reviews
309) A 76-year-old man presented with a 4-month history of recurrent vertigo. He reports feeling a sensation of spinning dizziness on turning the neck to his left. He also reports left sided headaches and decreased hearing on the left. Each episode lasted about 15 to 20 minutes and occurred when he turned his head to the left. He denies any ringing sensation in ears, nausea or vomiting. He denies any chest-pain, shortness of breath or palpitations. His past medical history is significant for hypertension and diet controlled diabetes. His medications include hydrochlorothiazide and enalapril. He also has history chronic neck pain due to cervical spondylosis for which he uses tylenol. On examination, his blood pressure in supine position is 140/88 mmHg and blood pressure on standing is is 130/86. Tympanic membranes are visible and there is some cerumen in the left ear. Using a 512Hz tuning fork , bone conduction is found to be better than air conduction on the left and Weber test shows lateralization to the left. Dix-Hallpike’s and Lhermitte’s signs are negative. There are no other neurological deficits. Gait is normal. Range of motion of the neck is limited on lateral movements and neck pain is elicited by turning to left side. An X-ray of cervical spine shows severe spondylosis with discopathy and osteophytes from C2 to C4 vertebrae. Which of the following is the most appropriate management of his dizziness?
A) Discontinue Hydrochlorthiazide
B) Cervical Collar
C) Cerumen Disimpaction
D) Increase Diuretics and add Meclizine
E) Methylprednisolone
Filed under: Uncategorized, USMLE Test Prep | Tagged: Archer ENT, archer neurology, neurology mcqs, neurology usmle mcqs, USMLE STEP 3 ENT, usmle step 3 neurology, vertigo | 7 Comments »
Posted on January 9, 2012 by Archer USMLE Reviews
308) A 76-year-old man presented with a 4-month history of recurrent vertigo. He reports feeling a sensation of spinning dizziness on turning the neck to his left. He also reports left sided headaches and decreased hearing on the left. Each episode lasted about 15 to 20 minutes and occurred when he turned his head to the left. He denies any ringing sensation in ears, nausea or vomiting. He denies any chest-pain, shortness of breath or palpitations. His past medical history is significant for hypertension and diet controlled diabetes. His medications include hydrochlorothiazide and enalapril. He also has history chronic neck pain due to cervical spondylosis for which he uses tylenol. On examination, his blood pressure in supine position is 140/88 mmHg and blood pressure on standing is is 130/86. Tympanic membranes are visible and there is some cerumen in the left ear. Using a 512Hz tuning fork , bone conduction is found to be better than air conduction on the left and Weber test shows lateralization to the left. Dix-Hallpike’s and Lhermitte’s signs are negative. There are no other neurological deficits. Gait is normal. Range of motion of the neck is limited on lateral movements and neck pain is elicited by turning to left side. An X-ray of cervical spine shows severe spondylosis with discopathy and osteophytes from C2 to C4 vertebrae. Which of the following is the most likely explanation for his Vertigo?
A) Orthostatic Hypotension
B) Vertebral artery occlusion from cervical spondylosis
C) Cerumen Impaction
D) Meniere’s disease
E) Labyrinthitis
Filed under: Uncategorized, USMLE Test Prep | Tagged: archer neurology, archer obstetrics, archer ostetrics and gynecology, archer preventive medicine, neurology mcqs, neurology usmle mcqs, usmle step 3 gynecology and obstetrics, usmle step 3 neurology, usmle step 3 obstetrics, usmle step 3 preventive medicine, vaccinations usmle step 3, vertigo | 7 Comments »
Posted on January 6, 2012 by Archer USMLE Reviews
307) A 35 year old woman is evaluated in your office during an antenatal visit. Her last menstrual period was 8 weeks ago. She tells you that 2 weeks after she missed her regular menstrual period she checked herself with home pregnancy kit and tested positive. She works in a day-care center. She is concerned now because she received Rubella vaccination 4 weeks ago after an exposure to a sick child without knowing that she was pregnant. She read about the dangers to fetus on the internet and is very worried. Physical examination is benign.
Which of the following is the most appropriate course of action?
A. Refer her to medical termination of pregnancy
B. Tell her that there is a high established risk to fetus and she should strongly consider termination of pregnancy
C. Counsel her about theoretical risk to fetus and continue pregnancy care
D. Administer Rubella immunoglobulin
E. Reassure her that there is no risk to fetus.
Filed under: Uncategorized, USMLE Test Prep | Tagged: archer obstetrics, archer ostetrics and gynecology, archer preventive medicine, usmle step 3 gynecology and obstetrics, usmle step 3 obstetrics, usmle step 3 preventive medicine, vaccinations usmle step 3 | 6 Comments »
Posted on January 6, 2012 by Archer USMLE Reviews
306) A 32 year old man with history of immune thrombocytopenic purpura is evaluated in your office during a follow up visit. His previous treatments include intravenous immunoglobulin (IVIG) and steroids for his immune thrombocytopenia. He has responded to IVIG in the past however, the response was transient despite steroid maintenance. The patient was maintained on steroids for 2 months initially and achieved a sub-optimal response with peak platelet count reaching 30k/µl. He began very slow steroid taper over the last 4 weeks but his platelets have dropped to 8k/μl again during the taper. Hence, the patient is scheduled for Splenectomy. On examination, he has no bleeding or echymoses. Platelet count today is 10k/μl. Which of the following is the most appropriate step in preparing this patient for surgery?
A) Pneumococcal , Meningococcal and HIB vaccines 1 week prior to surgery
B) Pneumococcal and meningococcal vaccines 2 weeks prior to surgery
C) Pneumococcal, Menigococcal and HIB vaccines 2 weeks prior to surgery
D) Daily oral Penicillin Prophylaxis
E) No vaccines required in adults
Filed under: Uncategorized, USMLE Test Prep | Tagged: Archer hematology, archer preventive medicine, archer surgery, USMLE step 3 Hematology, usmle step 3 preventive medicine, usmle step 3 surgery | 11 Comments »
Posted on January 5, 2012 by Archer USMLE Reviews
305) You have recently been posted by your employer to serve as a school physician in a school that is few miles away from your office. The school has about 250 students of whom 55% are girls and the rest are boys. The school teacher reports that they have not had a scoliosis screening program in place and wonders if you can implement such a program in the school. Which of the following is the most appropriate course of action?
A) Arrange scoliosis screening for all students between 10 and 16 years of age.
B) Arrange scoliosis screening for all students 10, 12, 14 and 16 years of age.
C) Contact the school nurse and review skills for scoliosis screening procedures.
D) Visually inspect for severe curves only when the back is examined for other reasons.
E) Screen girls for scoliosis at 15 years of age and boys at 16 years of age.
Filed under: Uncategorized, USMLE Test Prep | Tagged: aRCHER ORTHOPEDICS, archer pediatrics, archer preventive medicine, school nurse, school physician, scoliosis, scoliosis screening, screening procedures, USMLE STEP 3 ORTHOPEDICS, usmle step 3 preventive medicine, USMLE STEP3 PEDIATRICS | 5 Comments »
Posted on January 5, 2012 by Archer USMLE Reviews
304)
A 16-year-old male who presents to your office for his regular health checkup and for clearance before participation in then high school basketball team. During the physical examination, you note a mild convexity in the thoracic region of his spine with forward flexion at the hips. You ask him to lean forward with his feet together and bend 90 degrees at the waist. Based on your clinical examination, you estimate a lateral spinal curvature of about 5 degrees. You discuss these findings with the patient and his mother. Which of the following is the most appropriate action?
A. Recommend back-strengthening exercises.
B. Refuse medical clearance for participation in sports.
C. Order a radiograph of the back to quantify the curvature
D. Observation alone.
E. Refer for orthopedic consultation.
Filed under: Uncategorized, USMLE Test Prep | Tagged: aRCHER ORTHOPEDICS, archer pediatrics, archer preventive medicine, USMLE STEP 3 ORTHOPEDICS, usmle step 3 preventive medicine, USMLE STEP3 PEDIATRICS | 8 Comments »
Posted on January 4, 2012 by Archer USMLE Reviews
303) A 11 year old girl is evaluated in your office for progressing lateral curvature of her spine. She denies any back pain or neurological symptoms. Her mother is very concerned about the child’s appearance. On physical examination, there is gross convexity in the thoracic region of her spine with forward flexion at the hips. There is no tenderness or neurological deficits. An x-ray of the spine reveals 25º curvature ( cob angle) . Which of the following is the most appropriate management at this time?
A) Repeat Clinical exam and x-rays at 6 months
B) Refer to orthopedic evaluation
C) Bracing
D) Spinal fusion surgery
E) Recommend back strengthening exercises
Filed under: Uncategorized, USMLE Test Prep | Tagged: aRCHER ORTHOPEDICS, archer pediatrics, USMLE STEP 3 ORTHOPEDICS, USMLE STEP3 PEDIATRICS | 5 Comments »
Posted on January 4, 2012 by Archer USMLE Reviews
302) A 16 year old girl is evaluated in your office for one day duration of fever, cough and left pleuritic chest pain. On examination, her temperature is 100.5F, respiratory rate is 18/min, pulse 100/min and blood pressure 120/60 mm hg. Breath sounds are decreased in the left lower lobe. A Chest x-ray is obtained which reveals left lower lobe infiltrate. Incidentally, a 7 ° lateral curvature is seen on the chest x-ray. The patient is started oral azithromycin for her pneumonia and is discharged home. Which of the following is the most appropriate management for her incidentally discovered scoliosis?
A) Clinical follow up alone
B) Repeat x-rays every 6 months
C) Refer to orthopedic surgery
D) Bracing
E) No follow up required
Filed under: Uncategorized, USMLE Test Prep | Tagged: aRCHER ORTHOPEDICS, archer pediatrics, USMLE STEP 3 ORTHOPEDICS, USMLE STEP3 PEDIATRICS | 11 Comments »
Posted on January 4, 2012 by Archer USMLE Reviews
301) A five month old male infant is brought to the out patient department for evaluation of one month history of recurrent vomiting, diarrhea and skin rash . The baby was delivered normally at term with out any complications. Mother reports that she breastfed him for four months and recently has been feeding him exclusively with formula. Mother reports that the baby vomits intermittently after each feed and develops raised, red welts on his skin after each feeding. There is no blood or bile in the vomitus. Vomiting occurs within 30 minutes after feeding. Suckling is normal. He also has mucousy, loose stools for the past three weeks with no blood. There is no history of cough, cold or fever. On examination, the infant in no apparent distress and vitals are normal. Abdominal examination is benign with out any palpable masses or peristaltic waves. Rest of the physical is normal. Laboratory investigations reveal Hb: 13.2 gm%; Haematocrit: 35%; WBC: 9,200/μl ; Platelets: 225,000/μl, Na 132 meq/L; K 3.8 meq/L; Cl 92 meq/L; albumin 4.6g%. Urinalysis is normal. Which of the following is the most appropriate next step in managing this condition?
A) Abdominal ultrasound
B) Lactose free formula
C) Start hydrolyzed formula feeds
D) IgE Radio-allergosorbent test
E) Observation
Filed under: Uncategorized, USMLE Test Prep | Tagged: ARCHER GASTROENTEROLOGY, archer pediatrics, USMLE STEP 3 GASTROENEROLOGY, USMLE STEP3 PEDIATRICS | 19 Comments »
Posted on January 4, 2012 by Archer USMLE Reviews
300) A 14 year old girl is evaluated in your office for moderate headache of one month duration . She denies any blurred vision, neck stiffness or fever. She is accompanied by her mother who reports that her performance at school has progressively declined over the last few months and she has deepening of voice for the past 4 months. On examination, Pulse 80/min; Temperature: 98.4F and Blood pressure: 135/100 mm of Hg. There is excessive hair on her face. Rest of the physical is normal except for faint purplish marks on her abdomen. Laboratory investigations including complete blood count, comprehensive metabolic panel and Urine analysis are within normal limit. Which of the following is the most appropriate next step ?
A) 24 hour urinary cortisol
B) MRI brain
C) CT scan of the abdomen
D) Dexamethasone Suppression Test
E) Plasma catecholamines
F) Urine Drug Screen
Filed under: Uncategorized, USMLE Test Prep | Tagged: Archer endocrinology, archer pediatrics, endocrinology questions, usmle step 3 endocrinology, USMLE STEP3 PEDIATRICS | 21 Comments »
Posted on January 4, 2012 by Archer USMLE Reviews
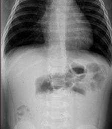
299) A 10 month old male infant is brought by his concerned mother to the Emergency room with complaints of vomiting and bloody diarrhea. Mother reports that he suffered from “stomach flu” symptoms about 1 week ago which resolved spontaneously. He had 4 episodes of vomiting since yesterday and has been crying intermittently every 15 minutes. There is no blood or bile in the vomitus. He had four loose stools with blood in it. There is no history of fever or cough or cold. His past medical history is unremarkable. On examination, temperature is 98.4F, pulse 112, respiratory rate 30/min and blood pressure at 80/50 mm hg. Oral mucosa appear moist and skin turgor is adequate. Abdomen is soft with no palpable masses. Bowel sounds are present. Stool guaiac is strongly positive. Stool is sent for cultures and abdominal x-rays are obtained. An x-ray image is shown below:

Which of the following is the most appropriate next step in managing this condition?
A) Abdominal ultrasound
B) Gastrograffin enema
C) Surgery
D) Rectal tube placement
E) Flexible sigmoidoscopy
Filed under: Uncategorized, USMLE Test Prep | Tagged: ARCHER GASTROENTEROLOGY, archer pediatrics, archer surgery, USMLE STEP 3 GASTROENEROLOGY, usmle step 3 surgery, USMLE STEP3 PEDIATRICS | 23 Comments »
Posted on January 2, 2012 by Archer USMLE Reviews
298) A 6 year old boy presents to your office with a limp on the right side. He denies any falls or trauma. Mother reports that the limp has been present for several weeks. She reports that the patient was seen in the Emergency Room when the limp was first observed. X-rays obtained at that time were normal and so, he was discharged. There is no history of fever. He denies any pain. Family history is unremarkable. On examination, he is afebrile . His right lower extremity appears one inch shorter than the left. Upon standing and walking, his pelvis appears to be tilted towards the left. Which of the following is most likely to be abnormal in this condition?
A) External rotation of hip
B) Tibial tuberosity
C) X-ray of the Knee
D) Erythrocyte Sedimentation Rate
E) Internal rotation and abduction of hip
Filed under: Uncategorized, USMLE Test Prep | Tagged: archer pediatrics, child with limp, limping child, USMLE STEP 3 ORTHOPEDICS, USMLE STEP3 PEDIATRICS | 11 Comments »
Posted on January 2, 2012 by Archer USMLE Reviews
297) A 64 year old man is seen in the office for pre-operative evaluation of right inguinal hernia repair. His past medical history is significant for diabetes and recurrent right foot cellulitis. His most recent episode of right foot cellulitis was 2 weeks ago for which he received a 2 week course of oral antibiotics. His surgery is scheduled within one week. On examination, he is afebrile. He has reducible right inguinal hernia and bilateral lower extremity stasis dermatitis. His laboratory investigations reveal:
Platelet Count 240k/μl ( Normal 150–400k/μl)
Prothrombin time 22 seconds ( Normal 10 to 13 secs)
Partial Thromboplastin time : 34 sec ( Normal 22 to 37 secs)
Which of the following is the most appropriate action at this time?
A) Obtain PTT mixing studies
B) Administer Oral Vitamin K
C) Intravenous Fresh Frozen Plasma
D) Intravenous Factor VIII
E) Von Willebrand Factor Assay
Filed under: Uncategorized, USMLE Test Prep | Tagged: Archer hematology, archer surgery, Hematology, USMLE step 3 Hematology, usmle step 3 surgery | 13 Comments »